MENU
  • 2025.7.19旅のスポット3本
  • 2025.7.13旅のスポット3本
  • 2025.7.11旅の道具1本
  • 2025.7.8旅の日記1本
  • 2025.7.3旅の道具1本
  • 2025.6.29旅のスポット1本
  • 2025.6.29旅の道具1本
    2025.6.27旅の道具1本
  • 2025.6.25旅の道具1本
  • 2025.6.18旅の道具1本
  • 2025.6.15旅の道具1本
  • 2025.5.4旅の日記 2本
  • 2025.4.30旅の道具 2本
  • 2025.4.25三井記念病院入院日記 1本
  • 2025.4.24三井記念病院入院日記 1本
  • 2025.4.17三井記念病院入院日記 2本
  • 2025.4.7三井記念病院入院日記 入院初日
  • 2025.4.6三井記念病院入院日記準備編
現在、不具合によりコメントの返信ができません。申し訳ありませんがご了承下さい。

三井記念病院入院日記2005.9.29〜2025.10.11心臓止まっちゃいました


9月29日
午前中は小笠原医院に通い薬をもらう。
午後よりロリポップサポートに電話して、ドメインの設定方法などを聞く。
29日はこのような予定を立てていた。

そして、早めの昼食をお袋ととった。
あれ、気持ち悪い。    飯食いすぎたかな?
あれ、背中痛い!
やば、う!吐いてしまった
ちょっと横になろうう!
また気持ち悪い、   こりゃ変だそ、
三井記念病院に行ったほうがいいかな?
電話をかけ、タクシーに飛び乗る。

診察をしてもらっているが、背中が痛くてしょうがない。
担当の小沢先生より、一般病棟に移ってから聞いた話だが、
心電図などの処置をしている最中に心臓が止まったとのこと。
AEDを使用して、戻ってきたそうだ。
CTを撮った意識が自分の中ではなく、

大変なことになってしまった。

その時はまだ事態を把握していなかったが、
循環器内科の田邉先生,堀内先生
脳神経外科の藤本先生も来てくれた。
今思うと、この事があって心配して来てくれたのだと思うが、
めっちゃありがたいことだ。^_^

確か1泊と半日ぐらいは絶食状態だったと思う。でもそんなにお腹は減っていなかった。

CCU1日目かな?
ちょっとしたトラブルあり
担当の小沢先生が患部のちょっと下のテープを剥がす時

「痛たい」と叫んでしまった。

剥がすときについた指が変なところを押されてしまい、めちゃ痛かったのだ。

実は、この痛みがまだ取れておらず、退院時まで、何回も小沢先生に訴えたが、
患部をちょこっと見て腫れてもいないし、血液検査も異常ないので大丈夫ですよ
と言って取り合ってくれなかった。
10月13日現在足を動かすと痛い時があり、11月6日の通院日まで痛かったら、
きちんと検査をしてもらおうと思う。

いつも小沢先生が来られていたが、今回の本来の主治医は西村先生。
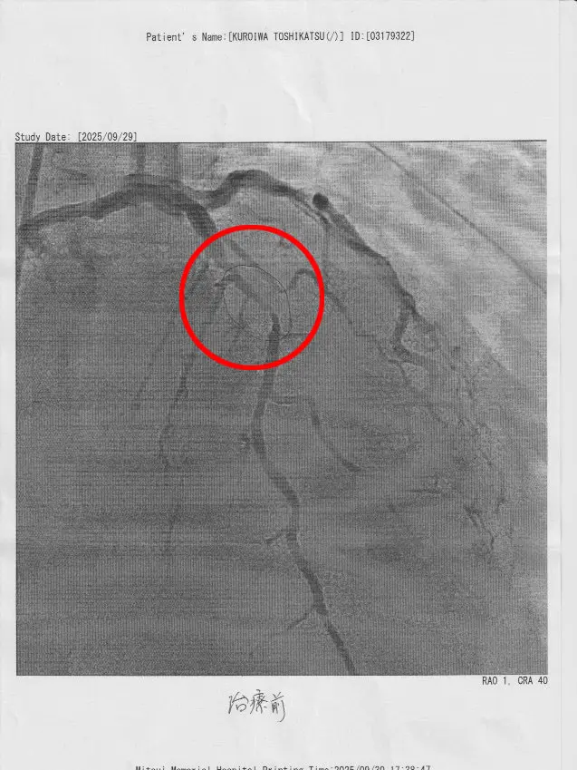
西村先生がどのようにステントを入れたかを、画像を見ながら説明してくれた。
太い動脈が詰まり、心筋梗塞の症状が出た。
そちらの部分はステント留置し治療を完了したとのこと。
しかし、もう1カ所(以前心筋梗塞になりステント留置してある場所の手前部分)に
かなり細い部分があり、
こちらを半年後の検査時に様子を見て処置するかもしれないとの事。
時限爆弾を抱えるいるということか。まぁ、しょうがないか。

上の写真が治療前、中の写真が治療後、下の写真がもう1カ所の細い血管

11月3日は検査ラッシュ。
採血、レントゲン、心電図、超音波(頸動脈)その他の検査を行い、最後に栄養指導があった。

指導員によるリハビリ指導も行われ、車椅子移動から解放される。
自主練として、病棟の廊下を1日15往復を日課とする。
日に日に動けるようになる自分を実感。
リハビリ室において自転車こぎのリハビリを行う。これが結構きつい。

1日1日負荷を増やしながら、10分間こぐ。これが結構きつい。

入院前に歯医者に通っており、仮歯を入れていたが、それがとうとう取れてしまった。
病院食は通常の心臓食だったが、ひと口サイズ(お年寄りなどが食べる。
刻み食の1歩手前)に変えてもらった。
(おかずやお新香などひと口サイズになっている)とっても食べやすくなった。

退院の数日前、脳神経外科の藤本先生が面会に来てくれた。
ほんとにこの先生は気さくでめっちゃいい先生だな。


今日帰れると思うと、目が冴えてしまい、
夜中の3時に起きてしまい、それ以降一睡もできなかった。
最後の検温を終え、朝食を取り退院の用意をする。
日勤の看護師さんに、心電図モニターの配線を外してもらい、
退院時の書類をもらう。
そして、10月11日土曜日朝10時に退院する。


よかったらシェアしてね!
  • URLをコピーしました!
  • URLをコピーしました!

この記事を書いた人

旅日記を主体とするブログを作りました。二輪旅、四輪旅、電車旅、散歩旅?のおすすめな場所や情報、美味い物など、広く浅く載せます。よろしくお願いします。

コメント

コメントする

目次